- Главная
- Наши специалисты
- Семенюк Екатерина Юрьевна
Семенюк Екатерина Юрьевна

Детский стоматолог
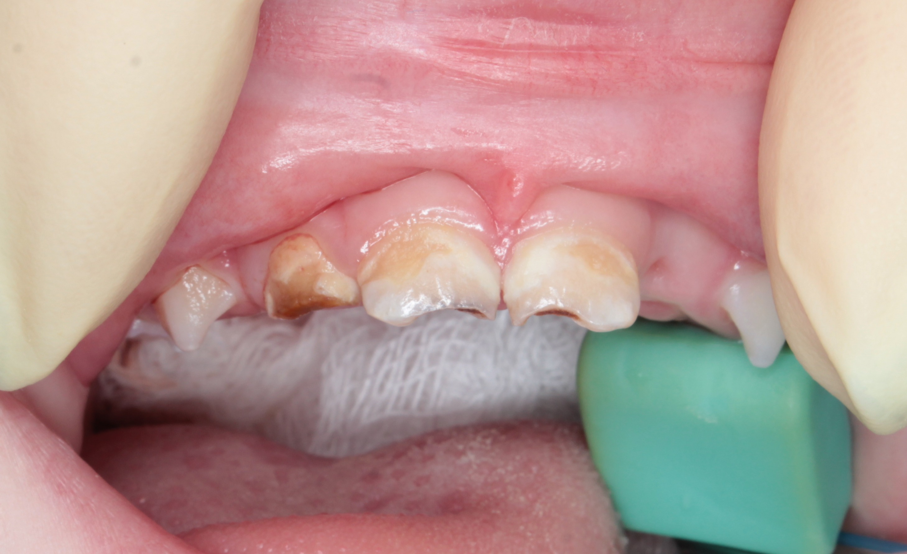
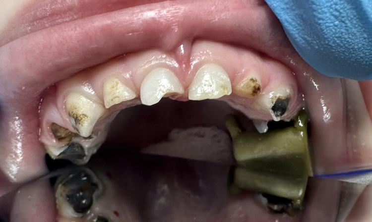
Специалист в области диагностики и лечения кариеса и его осложнений молочных и постоянных зубов у детей, удаления молочных зубов и профессиональной гигиены полости рта у детей.
В совершенстве владеет методикой восстановления и протезирования коронками молочных зубов.
В совершенстве владеет методикой восстановления и протезирования коронками молочных зубов.
Стаж: 8 лет
5 рейтинг на ProDoctorov
Работает в филиалах:
ул. Красный путь, 101
Образование
Высшее образование
Диплом Омского Государственного медицинского университета. Врач-стоматолог (2018)
Диплом Омского Государственного медицинского университета. Стоматолог-терапевт (2020)
Дополнительное образование
- Теоретический курс "Дискуссионный клуб по детской стоматологии" - 2026 год
- Лекционный курс Kavo Kerr «Реставрация передней группы зубов винирами с применением микроскопа» - 2025 год
- Практический курс «Реставрация передней группы зубов Easy Flow методика» - 2025 год
- Онлайн конгресс для стоматологов «Травма молочных зубов», «Реабилитация детей в наркозе с множественными разрушениями», «Фтор и фторид», «Красивая эндодонтия молочных зубов», «Ортодонтия для детского стоматолога» - 2025 год
- Тренинг "iTOP-Индивидуальный тренинг стоматологической практики" - 2025 год
- Семинар «Консультация 2.0» - 2025 год
- Практический курс «PRO-Реставрации фронтальных зубов» - 2025 год
- Лекционно-практический курс "Эстетическая реставрация. Возможности материала Neo Spectra ST: от простого к сложному." - 2024 год
- Обучение "Техника установки детских циркониевых коронок на временные зубы" - 2024 год
- Семинар "Лечить или удалять? Когда мы удаляем временные зубы." - 2024 год
- Семинар "Седация масочная и внутривенная, наркоз" - 2024 год
ПРИМЕРЫ РАБОТ










































