- Главная
- Информация
- Наши работы
НАШИ РАБОТЫ
Средний кариес постоянного зуба у подростка 11 лет.
Зуб восстановлен фотокомпозитным материалом с сохранением природной анатомии. Зубы подростков важно лечить вовремя, не допуская развития воспаления сосудисто-нервного пучка зуба.
Возраст малыша 2 года 7 месяцев.
Родители заметили появление на зубах не счищаемого налета. На осмотре было выявлено поражение верхних резцов кариозным процессом.
В связи с маленьким возрастом было принято решение провести лечение в условиях медикаментозного сна (наркоза). Удалось избежать усугубления ситуации и развития пульпита. Восстановление эстетики зубов проводилось с помощью пломбировочного материала.
Пациенту 6 лет. Во время осмотра была выявлена несостоятельная пломба с признаками вторичного кариеса. Возникло подозрение на наличие полости, что затем было подтверждено рентгенологическим исследованием. Соседний зуб также оказался поражен контактным кариесом. Полость родители сами заметить не могли, так как она скрыта. Функциональная анатомия восстановлена фотополимерным композитным материалом.
Пациент 5 лет. Проводилось лечение 7 зубов за 1 прием под наркозом.
Нижние зубы лечены по диагнозу "пульпит", восстановлены стандартными металлическими коронками (при больших кариозных поражениях предупреждаем вторичный кариес, сколы тканей зуба).
Пациент 6 лет. Ребенок очень боялся лечить зубы в кресле, сильно реагировал на звуки стоматологической установки и прикосновения. Пролечено 7 зубов. Если по верхним по фото очевидно видны кариозные поражения, но нижние зубы были поражены скрытым кариозным процессом, который обнаружили при проведении рентгеновских снимков. Фото в процессе наглядно показывает, что скрывается под визуально "здоровой" эмалью. Восстановление зубов было проведено фотополимерным пломбировочным материалом и стандартными металлическими коронками.


Ребёнку 3 года с жалобами на наличие множественного кариеса, работа выполнена врачом под наркозом


Лечение пульпита молочных зубов в наркозе


Родители обратились с ребёнком 3 года, разрушение передних и жевательных зубов. Проводилось одномоментное лечение пульпита передних зубов и восстановление жевательной группы зубов коронками.


Пациент обратился в 2020 году, спустя пару месяцев после лечения в наркозе. Передние зубы были частично пролечены, но реставрация не проводились, так как со слов доктора, пломбировочный материал "не будет держаться". Зубы разрушались дальше. На момент лечения были запломбированы каналы передних зубов, восстановление (реставрация) пломбировочным материалом.


Родители обратились с ребёнком в возрасте 2 лет. При осмотре выявлен кариес эмали и дентина на четырёх зубах. Проведено удаление тканей, поражённых кариесом и выполено восстановление зубов пломбами из фотополимера.


Родители обратились с ребёнком в возрасте 2 лет. При осмотре обнаружен хронический пульпит на двух зубах. В условиях наркоза проведено эндодонтическое лечение зубов с восстановлением зубов пломбами из фотополимера.


Родители обратились с ребёнком в возрасте 3 лет. При осмотре выявлен кариес дентина на двух зубах. Лечение кариеса и восстановление зубов фотополимером проводилось в условиях наркоза.


Пациент 3 года. При осмотре был выявлен хронический пульпит двух зубов и кариес дентина 1 зуба в зоне улыбки. Лечение проводилось в наркозе.


Родители обратились с ребёнком и при плановом осмотре был выявлен кариес дентина зубов жевательных зубов. Восстановление жевательной и эстетической функции проводилось с помощью фотополимера.


При осмотре пациента в возрасте 5 лет был выявлен кариес дентина 2 жевательных зубов и хронический пульпит 1 зуба жевательного зуба. Произведена обработка кариозных полостей и восстановление зубов пломбами из фотополимера.


При осмотре пациента в возрасте 6 лет был поставлен диагноз хронического пульпита жевательного зуба. После эндодонтического лечения коронковая часть зуба восстановлена стандартной штампованной металлической коронкой, которая не затрудняет естественную смену зубов.


При проведении осмотра у подростка в возрасте 14 лет был обнаружен кариес жевательного зуба. Было проведено снятие старой пломбы, обработка кариозной полости и реставрация зуба фотополимерной пломбой.


Родители обратились на приём с ребёнком в возрасте 9 лет. В ходе осмотра был обнаружен кариес дентина. Восстановление зуба проводилось с помощью пломба фотополимерной по силиконовому ключу.


Ребенок 3 года. Проведено лечение в условиях медикаментозного сна (наркоза).


Ребенок 3 года. Проведено лечение в условиях медикаментозного сна (наркоза).


Родители обратились с ребёнком 3 лет. Проведено лечение обратимого пульпита и кариеса в условиях медикаментозного сна (наркоза). Зуб покрыт стандартной металлической коронкой до этапа смены прикуса.


Ребенок 3 года. Проведено лечение глубокого кариеса временных зубов в условиях медикаментозного сна (наркоза). Восстановление зуба стандартной металлической коронкой.


Ребенок 5 лет. Лечение пульпита и кариеса в условиях медикаментозного сна (наркоза).


Ребенок 5 лет. Лечение пульпита и кариеса в условиях медикаментозного сна (наркоза).


Ребенок 2,5 года. Восстановление передних разрушенных зубов пломбировочным материалом и восстановление жевательных зубов стандартными металлическими коронками в условиях медикаментозного сна (наркоза).


Проведено лечение ребенка 3 лет в условиях наркоза.


Лечение кариеса и восстановление зубов композитным материалом за одно посещение


Ребенок 4 года. В условиях наркоза проведено лечение пульпитов временных зубов с последующим восстановлением композитным материалом


В одно посещение выполнено лечение пульпита и кариеса. Восстановление композитным материалом Ceram x.


Лечение шести зубов с пришеечным кариесом. Работа выполнена в 2 посещения. Зубы восстановлены композитным материалом


Кариозный процесс на окклюзионно-небной поверхности.




Проведено лечение молочных зубов в условиях медикаментозного сна у ребенка 2 лет.


Проведено лечение в условиях наркоза у ребенка 5 лет. Один зуб в виду своей разрушенности покрыли детской металлической коронкой, а другой молочный зуб спасти уже не удалось.






Лечение в условиях наркоза ребенка 3-х лет.


Работа в условиях наркоза у ребенка 5 лет.


Лечение постоянного зуба в условиях наркоза у ребенка 7 лет.




Боковая группа зубов была удалена. Лечение зубов под общим обезболиванием.






В клинику обратился подросток 14 лет с жалобами на глубокие кариозные полости фронтальной группы зубов.
Зубы вылечены по диагнозу «Пульпит» и восстановлены композитными реставрациями.


Ребенок 4 года. Обратились с жалобами на сильно разрушенные зубы.
В условиях наркоза зубы вылечены по диагнозу «Пульпит». На молочные зубы установлены металлические коронки.


Лечение 3х летнего ребенка.


Лечение ребенка 7 лет. Лечение кариеса постоянного зуба и пульпита двух временных зубов.


Ребенок 4 года. Обратились с жалобами на кариозные поражения зубов.
В условиях наркоза зубы вылечены по диагнозу «Пульпит» и восстановлены пломбировочным материалом.


Обратилась мама с ребенком 4-х лет, с жалобами на многочисленные кариозные поражения зубов. В условиях сна зубы вылечены по диагнозу "Кариес" и "Пульпит" и восстановлены композитным пломбировочным материалом. Один зуб "спасти" не получилось, он был удалён.


Лечение ребенка 1,5 лет. Восстановление передних сильно разрушенных зубов циркониевыми коронками.




Пациент 12 лет
Лечение кариеса постоянного зуба.


Пациент 13 лет
Лечение кариеса постоянного 26 зуба.


В условиях сна зубы вылечены по диагнозу "Кариес" и "Пульпит" Проведена реставрация анатомической формы зубов композитным пломбировочным материалом.


В клинику обратилась мама с ребенком, с жалобами на несчищаемый налет с зубов. Зубным налётом оказался кариес. Было принято решение - лечение в условиях наркоза, ввиду большого количества требующих лечения зубов.


В клинику обратилась мама с подростком 12-ти лет с жалобами на разрушенный зуб, на кратковременные боли от сладкого. Зуб вылечен по диагнозу Кариес. Проведена реставрация анатомической формы зуба композитным пломбировочным материалом.


Ребенок, 8 лет очень боялся лечения зубов в кресле, было принято решение лечить зубы во сне.


У ребенка 3 лет все зубы верхней челюсти были повреждены кариесом. Зубы вылечены за один день в условиях наркоза и восстановлены композитными пломбами.


Лечение временных зубов у ребенка 5 лет под наркозом.
Зуб 75 лечен по кариесу.
Зуб 74 лечен по пульпиту.


В клинику обратились родители с ребенком 5 лет с жалобами на болевые ощущения. В ходе визуального осмотра была обнаружены кариозные поражения на жевательной поверхности зуба . Для более точной поставки диагноза была проведена диагностика, которая подтвердила наличие кариозной полости, уходящей глубоко до пульпы зуба. В ходе осмотра ребенок вел себя беспокойно, поэтому с родителями обсудили возможную необходимость применения седации. Лечение было запланировано на 2 приёма. Во время первого приёма было принято решение применения седации, а вот второй приём прошел в доверительной форме без седации. Пролечили зуб, с последующей постановкой фотополимерной пломбы.








Лечение зубов в условиях медикаментозного сна (наркоза)


Кариес на жевательной и контактной поверхности, восстановление контактного пункта и анатомии зуба.


Контактный кариес 84 и 85 зуба. Восстановление контактного пункта и анатомии зубов с сохранением жизнеспособности пульпы


Пациент 4 года.
Лечение 85 зуба по диагнозу «Хронический пульпит» в условиях общего обезболивания(наркоз).


Пациент 1 год 10 месяцев
Лечение фронтальной группы временных зубов под общей анестезией (наркозом)


В клинику обратились родители с подростком получившим травму трех передних постоянных зубов. Травма зубов произошла в пределах дентина, без обнажения нерва, поэтому зубы удалось сохранить «живыми».
Проведена реставрация зубов в 2 посещения, с восстановлением эстетической и жевательной функции.


Лечение в условиях сна. Ребенок 2,5 года. Зубы вылечены по диагнозу кариес и пульпит с восстановлением пломбировочным композитным материалом.


Лечение скрытого кариеса (между зубами) постоянных зубов и восстановление их фотокомпозитным пломбировочным материалом.


Лечение кариеса фронтального (переднего) постоянного зуба.


Лечение кариеса молочного зуба и восстановление его фотокомпозитным пломбировочным материалом. Лечение пульпита молочного зуба и закрытие его стандартной металлической коронкой.


Лечение скрытого кариеса (между зубами) молочных зубов и восстановление их фотокомпозитным пломбировочным материалом.


Лечение зуба 2.6 под микроскопом. Кариес жевательной поверхности, препарирование полости с дальнейшим восстановлением анатомии зуба.


Лечение 37 зуба по диагнозу «кариес дентина» у подростка 17 лет.


Замена пломбы и лечение кариеса на 46 зубе у подростка 15 лет.


В клинику обратились родители с ребенком 2 лет с жалобами на разрушение зубов.
Лечение проходило в условиях наркоза с восстановлением передних зубов циркониевыми коронками.


Лечение кариеса постоянного зуба у подростка 14 лет.


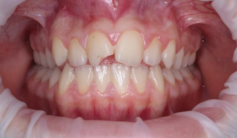
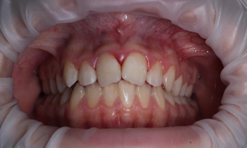
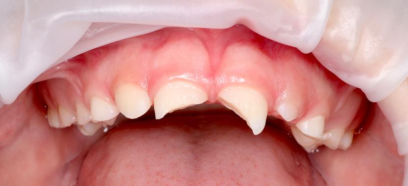
Травма передних зубов.
Восстановление передних зубов при помощи сохранившихся осколков и пломбировочного материала.


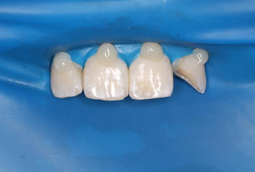
Подросток, 17 лет
Сломал зуб, восстановление бокового резца при помощи композитных материалов.


Ребенок 5 лет лечение пульпитов и кариесов верхних зубов, с восстановлением пломбировочным материалом и металлическими коронками, удаление двух зубов


Ребенок 2 года.
Лечение пульпитов передних зубов и восстановление их циркониевыми коронками в условиях наркоза.




Подросток 12 лет. Обратились в клинику после полученной травмы. Перелом коронковой части зуба в пределах дентина. Выполнена композитная реставрация зуба.