- Главная
- Наши специалисты
- Романюк Даниил Викторович
Романюк Даниил Викторович

Стоматолог-гигиенист
Специализируется на процедуре профессиональной гигиены, фторировании и реминерализации полости рта у взрослых.
Стаж: 6 лет
4.95 рейтинг на ProDoctorov
Работает в филиалах:
ул. Красный путь, 101
ул. Конева, 22/2
Образование
Диплом Бюджетного общеобразовательного учреждение Омской области "Медицинский колледж" город Омск. Гигиенист стоматологический (2020)
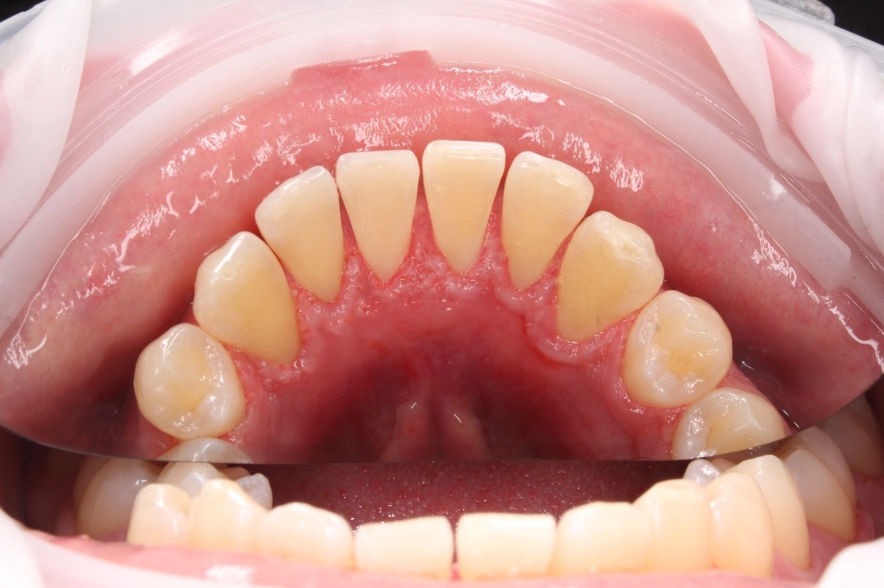
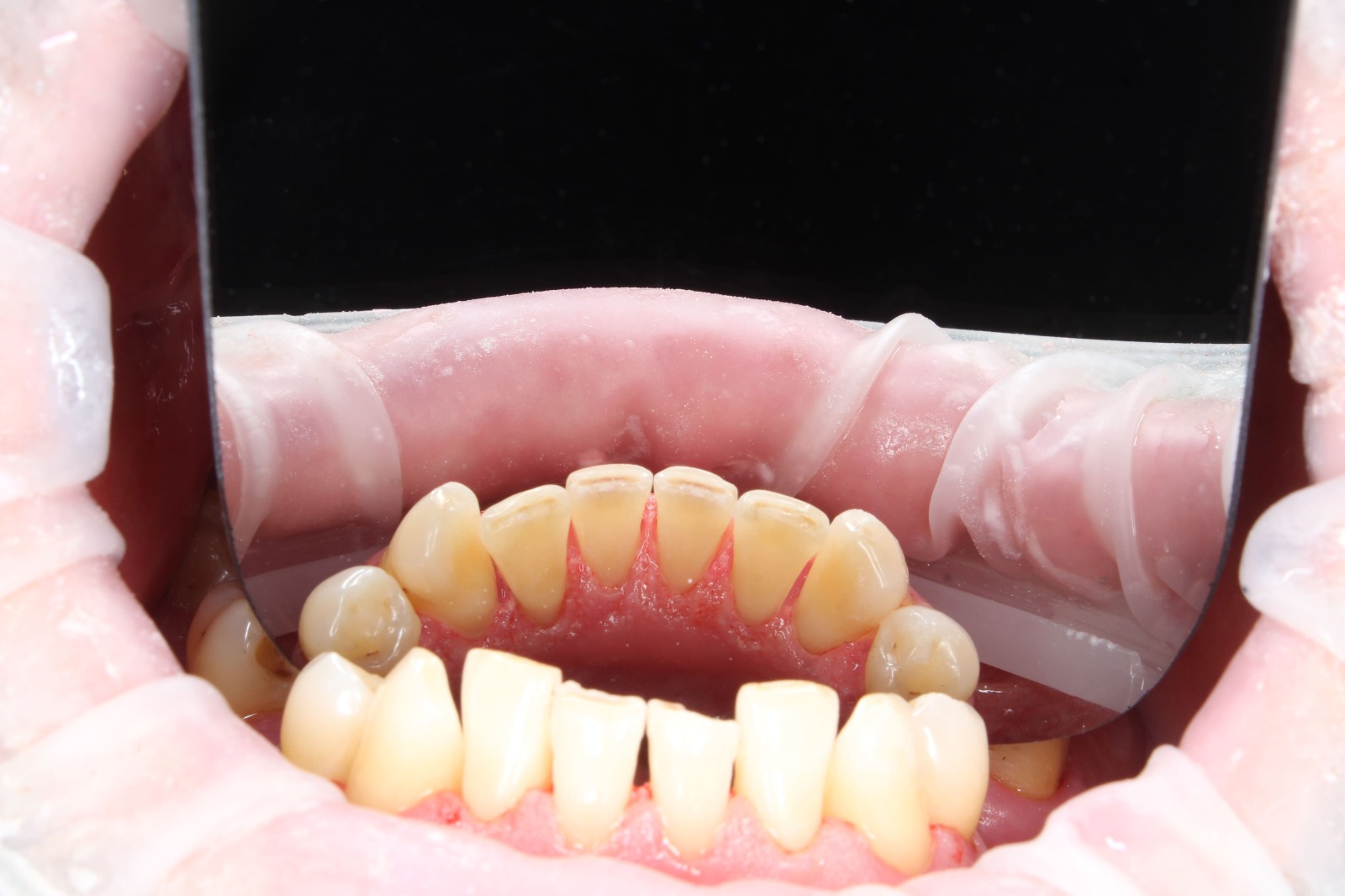
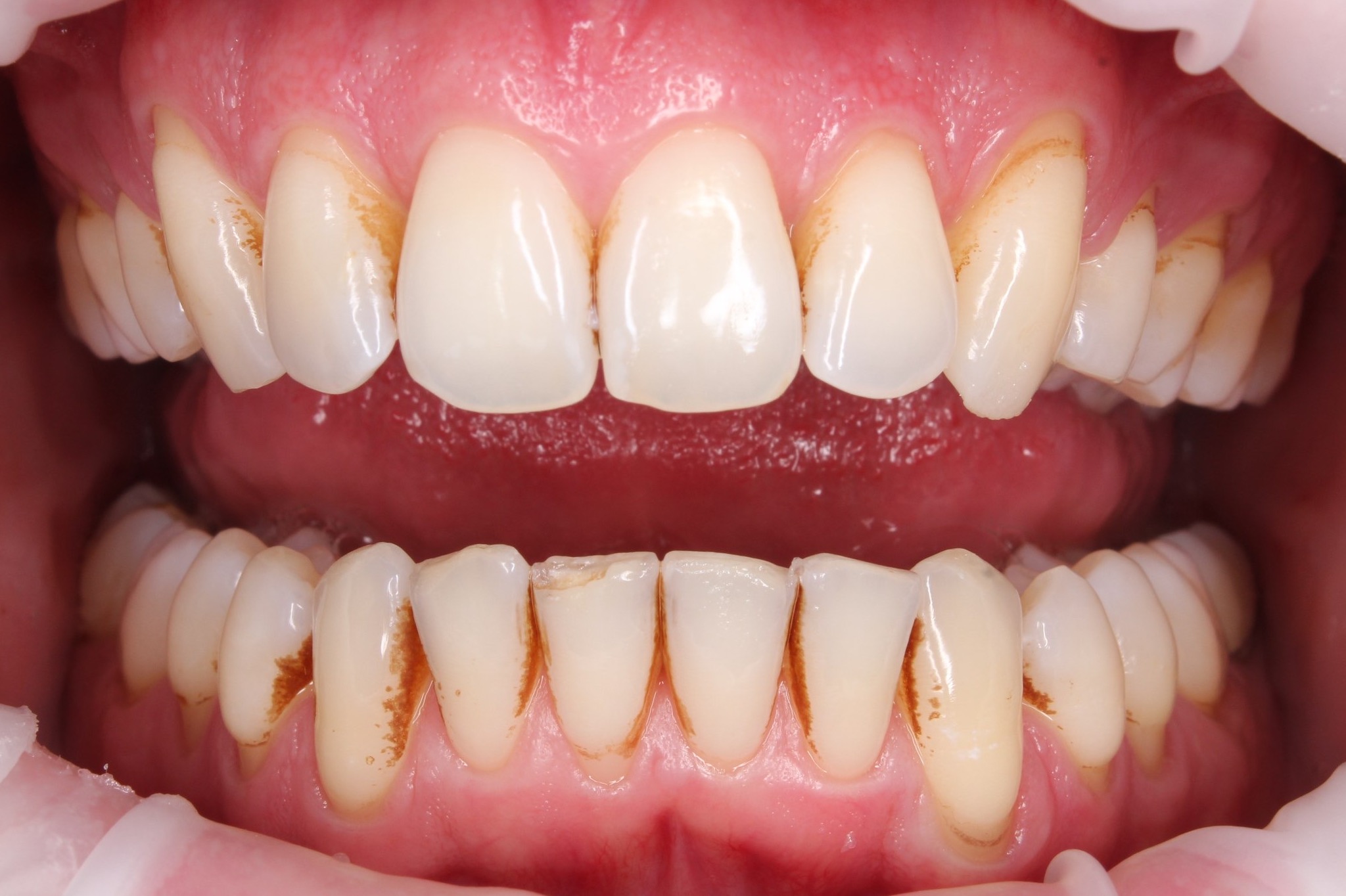
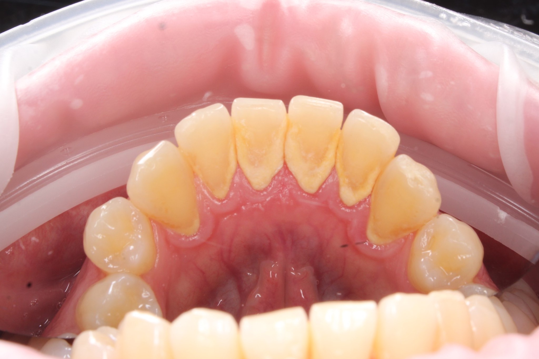
ПРИМЕРЫ РАБОТ









